
Estima-se que cerca de 30% da população mundial tenha um acúmulo de gordura no fígado chamado de esteatose hepática. A condição é típica de pacientes com dieta rica em gorduras e açúcares e sedentários, mas também pode estar relacionada à diabetes tipo 2, hipertensão e colesterol alto.
Em excesso, a gordura no fígado dificulta o trabalho do órgão, que filtra o sangue, elimina toxinas, metaboliza medicamentos, quebra a gordura, produz proteínas e regula a coagulação. No quadro, as células hepáticas ficam inflamadas, causam cicatrizes no órgão e podem desencadear ainda quadros graves de hepatite gordurosa, cirrose hepática e até câncer de fígado.
“Mesmo sem beber uma gota de álcool, o paciente com gordura no fígado pode desenvolver uma cirrose por esteatose hepática. A condição, por sua vez, é um fator de risco para hepatocarcinoma, que é o câncer que acomete o fígado. É importante tratar o quadro inicial para evitar doenças mais graves”, explica o médico Marcos Pontes, da Clínica Evoluccy, em Brasília.
Leia também
-
Estudo: gordura invisível no fígado afeta as artérias silenciosamente
-
Esteatose: o que é a gordura no fígado, quais os riscos e como tratar
-
Beber café ajuda a reduzir a gordura no fígado? Saiba quanto tomar
-
Para tomar antes de dormir: chá ajuda a “limpar” a gordura no fígado
O que é gordura no fígado?
- Popularmente chamada de gordura no fígado, a esteatose hepática acontece quando as células do órgão acumulam gordura em excesso.
- Nos estágios iniciais, a condição costuma ser silenciosa e não apresenta sintomas evidentes.
- À medida que progride, porém, podem surgir dores abdominais na parte superior direita do abdômen, cansaço, fraqueza, perda de apetite, aumento do fígado, inchaço na barriga, dor de cabeça frequente e dificuldade para perder peso.
- As principais causas estão relacionadas à obesidade, ao diabetes, ao colesterol alto e ao consumo excessivo de álcool.
- A doença é mais comum em mulheres sedentárias, já que o hormônio estrogênio favorece o acúmulo de gordura no fígado. Ainda assim, pessoas magras, que não bebem, e até crianças também podem desenvolver a condição.
Porém, nos primeiros momentos, a esteatose hepática é uma doença silenciosa, já que não causa grandes sintomas. Se não tratada rapidamente, a gordura no fígado pode avançar para quadros mais graves.
“Por não causar sintomas, muitos não buscam ajuda. É uma epidemia silenciosa que precisa ser enfrentada. Cerca de 25% dos pacientes com esteatose evoluem para hepatite por gordura e, depois, para fibrose ou cirrose”, alerta Bianca Della Guardia, hepatologista e coordenadora clínica do Transplante de Fígado da Rede D’Or.
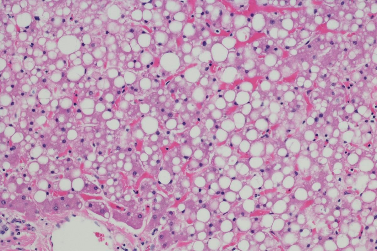
Visão microscópica de células do fígado com gordura, a esteatose hepática
Os principais sintomas de estágios mais graves são dores na parte superior direita do abdômen, cansaço, fraqueza, perda de apetite, inchaço na barriga, dor de cabeça frequente e dificuldade para perder peso.
Os médicos apontam que pacientes magros também devem estar atentos, principalmente se há predisposição genética. A gordura no fígado pode ser diagnosticada em exames de ultrassom e de sangue.
Siga a editoria de Saúde e Ciência no Instagram e fique por dentro de tudo sobre o assunto!