
Um carroceiro, identificado como Pedro Henrique Rocha de Azevedo, 42 anos, foi preso na manhã desta quinta-feira (16/10), após agredir e torturar a própria companheira durante cerca de seis horas, na QNM 40, em Taguatinga.
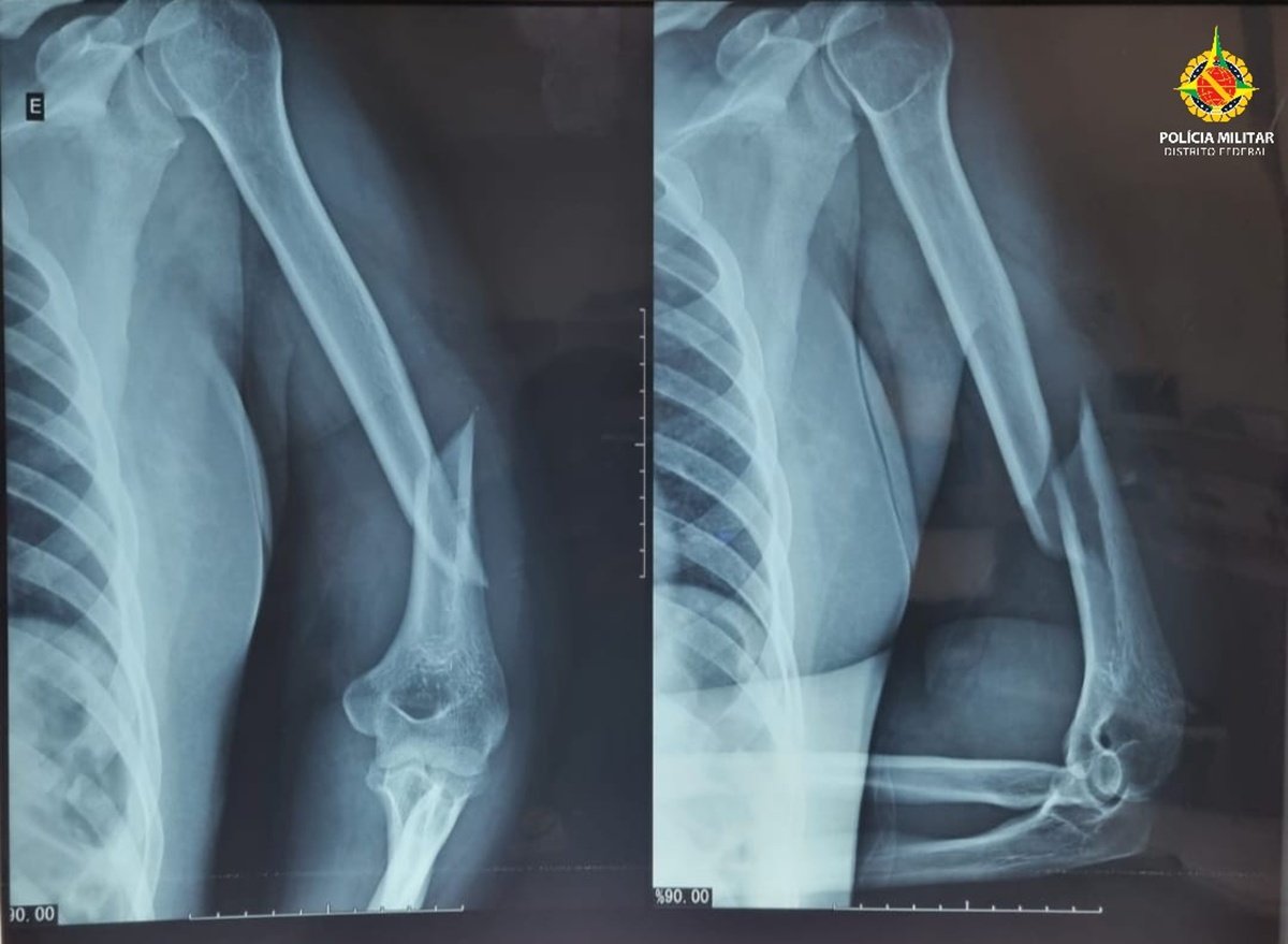
Segundo a Polícia Militar do DF (PMDF), uma equipe foi acionada para atender uma ocorrência de violência doméstica e, no local, constatou que a vítima, de 41 anos, apresentava hematomas no rosto, inchaço ao redor dos olhos, sangramento pelos ouvidos, fratura no úmero esquerdo e luxação no ombro esquerdo.
Uma equipe médica do Serviço de Atendimento Móvel de Urgência (Samu) informou aos policiais que o quadro clínico era sugestivo de traumatismo cranioencefálico.
A mulher relatou que vinha sendo agredida desde a meia-noite pelo companheiro e que foi uma vizinha que acionou a PMDF, após ouvir os pedidos de socorro. A vítima foi socorrida e encaminhada ao Hospital Regional de Taguatinga (HRT), onde permanece internada, aguardando procedimento cirúrgico.
O Metrópoles teve acesso ao boletim de ocorrência. No documento, foi relatado que a vítima mal conseguia abrir os olhos e falava com extrema dificuldade, descrevendo que foi submetida a “espancamento prolongado e reiterado” por Pedro Henrique.
O agressor foi localizado e preso em via pública, na EQNM 36/38. Segundo o boletim de ocorrência, no momento da prisão, Pedro apresentou atitude agressiva e resistência, além de ter negado a autoria do espancamento. Segundo a PMDF, ele tem extensa ficha criminal, com antecedentes por violência doméstica — contra a mesma vítima — além de homicídio e roubo.
O autor foi conduzido à 21ª Delegacia de Polícia (Taguatinga Sul), onde foi autuado em flagrante pelo crime de tentativa de feminicídio, agravada pela tortura.
Colaborou Carlos Carone